The Sindh health department on Saturday reported the province’s fifth death from Naegleria fowleri.
A 29-year-old from Karachi died on September 11 at a private hospital, Meeran Yousuf, the media coordinator for the Sindh health minister, told Dawn.com.
“The patient started experiencing symptoms on September 7 and was admitted to the hospital on September 11,”. Yousuf added. “The presence of Naegleria Fowleri was confirmed in the patient on September 12 after the patient had passed away.”
The media coordinator added that upon investigation, it was noted that the patient had not participated in any “water-related activities” and that his only exposure was the regular use of tap water for drinking and bathing.
“This is the fifth death from Naegleria in Sindh in 2025,” Yousuf said.
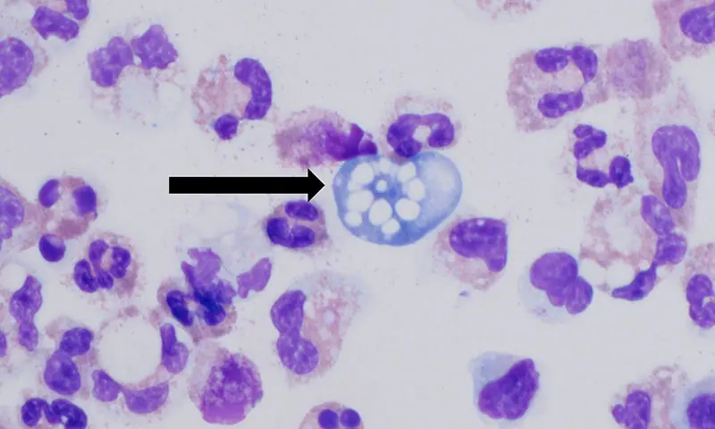
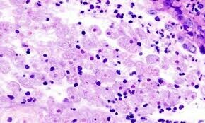
Commonly known as “brain-eating amoeba”, Naegleria Fowleri, is commonly found in warm fresh water —such as lakes, rivers and hot springs — and soil. Only one species, Naegleria fowleri, infects people.
It infects people when water containing the amoeba enters the body through the nose. This typically happens when people go swimming, diving, or when they put their heads under fresh water, like in lakes and rivers. The amoeba then travels up the nose to the brain, where it destroys the brain tissues and causes Primary Amoebic Meningoencephalitis (PAM).
The first symptoms of the PAM usually start about five days after infection and may include headaches, fever, nausea or vomiting. Later symptoms can include a stiff neck, confusion, a lack of attention to people and surroundings, seizures, hallucinations and comas.
After symptoms start, the disease progresses rapidly and usually causes death within five days. The germ cannot survive in cool, clean and chlorinated water.































